SOCIAL
ADDRESS ARK Dental Practice 3a Auriol Road London W14 0SP
CONTACT T: 020 7603 7255
Ozonater 2018
  

Teeth Straightening

Straight Teeth with ClearSmile Brace & Six Month Smiles

Dr Greg Gasiorowski is certified to provide ClearSmile Brace and Six Month Smiles. These six month braces are a modern twist on tried-and-true orthodontics.  There is little debate within the orthodontic community that braces are the most widely used and most effective method to give patients straight, healthy teeth and a beautiful smile.  These systems have taken the best aspects of braces and modified the treatment and the materials to give adults a common-sense, cosmetic solution that fits your lifestyle.  Here is what makes them so innovative … Average treatment times of only six months Clear brackets and tooth-colored wires are barely visible Use of braces has shown to provide the most conservative and predictable final result Low forces and short overall treatment times increase comfort, safety, and hygiene ClearSmile Brace and Six Month Smiles are typically less expensive than traditional braces, aligner therapy, or teeth veneers
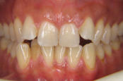
BEFORE
AFTER 3 MONTHS
What a transformation! I can't believe how straight my teeth have become in a short space of time. And Greg is such a warm and friendly dentist, it's a pleasure to come here every month. Not forgetting all the other staff here who have always made me feel very welcome. Thank you all for giving me a big (straight) smile! Mr Lee H
I come all the way from Bedford every month to see Greg for my 'Six Month Smiles' treatment. I can honestly say that it is a pleasure coming here and I will miss my monthly trip when the treatment comes to an end. I've received excellent service and the staff are fantastic. Thank you Mrs Kelly W
To Greg and his team, Fantastic! Can't thank you enough, wonderful service and stunning results, very effective 6-months smiles course. Thanks again! Mr Jamie F
...I can absolutely recommend Greg and his team, who took excellent care of me. The 6 months system definitely was the right thing for me and I'm glad I went to Greg's practice, as I felt the staff recognised me each time I walked in. Miss Lisa McK
BEFORE
BEFORE
BEFORE
BEFORE
AFTER
AFTER
AFTER
AFTER
OPENING HOURS Mon: 09:00-18:00 Tue: 09:00-14:00 Wed: 09:00-18:00 Thu: 11:00-20:00 Fri: Closed Sat: 09:30-17:00 Next available Sat: 24th Feb 2018

Teeth Straightening

Straight Teeth with ClearSmile

Brace & Six Month Smiles

Dr Greg Gasiorowski is certified to provide ClearSmile Brace and Six Month Smiles. These six month braces are a modern twist on tried-and- true orthodontics.  There is little debate within the orthodontic community that braces are the most widely used and most effective method to give patients straight, healthy teeth and a beautiful smile.  These systems have taken the best aspects of braces and modified the treatment and the materials to give adults a common-sense, cosmetic solution that fits your lifestyle.  Here is what makes them so innovative … Average treatment times of only six months Clear brackets and tooth-colored wires are barely visible Use of braces has shown to provide the most conservative and predictable final result Low forces and short overall treatment times increase comfort, safety, and hygiene ClearSmile Brace and Six Month Smiles are typically less expensive than traditional braces, aligner therapy, or teeth veneers
BEFORE
AFTER 3 MONTHS
BEFORE
AFTER
What a transformation! I can't believe how straight my teeth have become in a short space of time. And Greg is such a warm and friendly dentist, it's a pleasure to come here every month. Not forgetting all the other staff here who have always made me feel very welcome. Thank you all for giving me a big (straight) smile! Mr Lee H
BEFORE
AFTER
I come all the way from Bedford every month to see Greg for my 'Six Month Smiles' treatment. I can honestly say that it is a pleasure coming here and I will miss my monthly trip when the treatment comes to an end. I've received excellent service and the staff are fantastic. Thank you Mrs Kelly W
BEFORE
AFTER
To Greg and his team, Fantastic! Can't thank you enough, wonderful service and stunning results, very effective 6-months smiles course. Thanks again! Mr Jamie F
BEFORE
AFTER
...I can absolutely recommend Greg and his team, who took excellent care of me. The 6 months system definitely was the right thing for me and I'm glad I went to Greg's practice, as I felt the staff recognised me each time I walked in. Miss Lisa McK
SOCIAL
ADDRESS ARK Dental Practice 3a Auriol Road London W14 0SP
CONTACT 020 7603 7255
Ozonater 2018
  
OPENING HOURS Mon: 09:00-18:00 Tue: 09:00-14:00 Wed: 09:00-18:00 Thu: 11:00-20:00 Fri: Closed Sat: 09:30-17:00 Next available Sat: 24th Feb 2018
Call 020 7603 7255
Call 020 7603 7255